Tous savoir sur l’adénome de la prostate.
Incidence du Cancer de la Prostate chez les Jeunes Hommes : Une Tendance Émergente
Introduction Traditionnellement, le cancer de la prostate est perçu comme une maladie touchant...
Idées préconçues sur le traitement de l’hypertrophie bénigne de la prostate
Il existe de nombreuses idées fausses et courantes concernant l'hypertrophie de la prostate et...
Les vésicules perlées et leurs traitements
Qu'est-ce que les vésicules perlées ? Les vésicules perlées, également connues sous le nom de...
Comment le diabète influence la santé de la prostate ?
Le diabète, une maladie métabolique chronique fréquente, perturbe bien plus que la simple gestion...
Comprendre le dosage du PSA (Antigène Prostatique Spécifique) : Un outil clé pour la santé de la prostate
Le test PSA (test de l'antigène prostatique spécifique) est l’un des outils de diagnostic les plus...
Quand envisager une opération pour l’hyperplasie bénigne de la prostate (HBP) ?
L’hyperplasie bénigne de la prostate (HBP) est une affection courante chez l’homme vieillissant,...
Le lien méconnu entre le stress et la santé de la prostate
Le stress est une force puissante qui influence tous les systèmes du corps, y compris la prostate....
Le traitement de l’hyperplasie bénigne de la prostate (HBP) : souhaits et attentes des patients
Impact de l'HBP sur la qualité de vie Chez les hommes de plus de 40 ans, une proportion...
Les examens de la prostate : quand et pourquoi les réaliser ?
La prostate est une glande faisant partie du système reproducteur masculin, qui est aussi liée au...
Quels sont les signes d’un problème de prostate ?
À partir de 45-50 ans, les problèmes de prostate sont fréquents chez l'homme. Il est donc...
Score IPSS : passez le quizz pour évaluer vos troubles urinaires !
Chez l’homme, les troubles urinaires sont très fréquents, et s’accentuent généralement avec l’âge....
Tout savoir sur l’échographie de la prostate
L’échographie de la prostate est un examen indolore, qui ne nécessite pas d’anesthésie. Prescrite...
Tous savoir sur le cancer de la prostate
Comprendre le Cancer de la Prostate et le Score de Gleason : Un Guide Essentiel pour les Hommes
Le cancer de la prostate est l'un des cancers les plus répandus chez les hommes. Sa détection...
Comprendre et Gérer le Cancer de la Prostate Découvert Fortuitement après une Chirurgie de l’Adénome : Le Guide du Patient pour 2026
Chers lecteurs, Le diagnostic d'un cancer est toujours une épreuve, et lorsqu'il survient de...
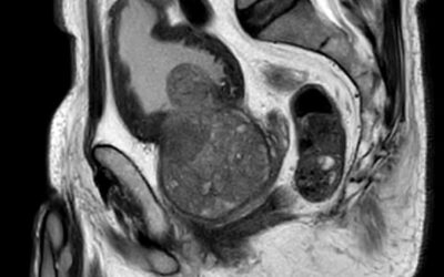
Déroulement et role de l’IRM prostatique
L'IRM de la Prostate : Déroulement de l'Examen et Son Rôle dans le Diagnostic de la Prostatite et...
Tous savoir sur la dysfonction érectile
La Circoncision chez l’Adulte : Guide Complet pour les Patients
La Circoncision chez l’Adulte : Guide Complet pour les Patients Introduction La circoncision, ou posthectomie, est une intervention chirurgicale qui...
La Dysfonction Érectile et Vitaros : Une Alternative au traitement par voie orale.
La dysfonction érectile est un trouble assez courant qui impacte la qualité de vie de nombreux hommes à travers le monde. Alors que divers...
Dysfonction érectile et problèmes de prostate : Existe-t-il un lien ?
Souvent perçus comme deux problèmes distincts, la dysfonction érectile (DE) et les troubles de la prostate concernent de nombreux hommes, surtout...
Tous savoir sur l’incontinence masculine
Incontinence urinaire chez l’homme après prostatectomie pour cancer.
L'incontinence après prostatectomie touche quasiment tous les hommes après l'intervention....















